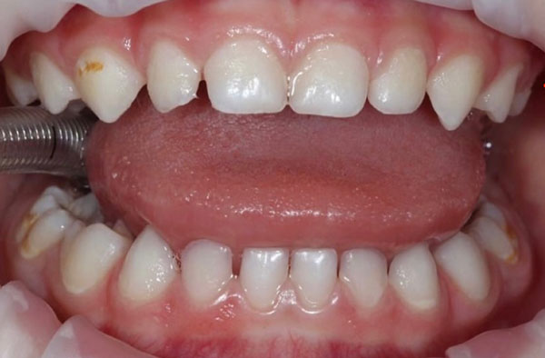
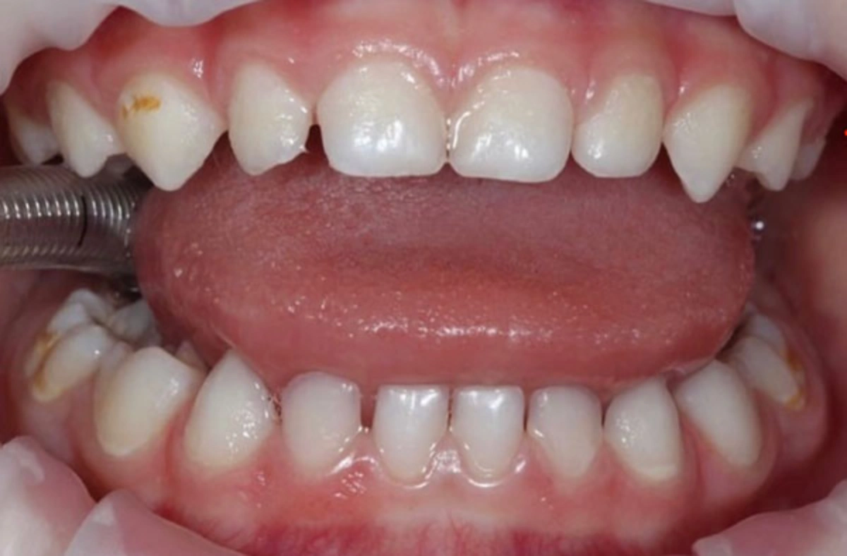
Карієс — це руйнування емалі та дентину, викликане бактеріями. Патологічний процес уражає зуби на будь-якій стадії їх формування та призводить до виникнення больових відчуттів, інфекцій, а також може спровокувати ускладнення, що впливають на розвиток щелепно-лицевої системи. Проблема карієсу актуальна не лише для постійних, але й для молочних зубів, які також потребують ретельної уваги.
Показання до лікування карієсу у дітей:
- Наявність каріозного ураження зубів
- Профілактика ускладнень
- Біль або дискомфорт
- Порушення естетики чи функції
- Ризик системного впливу : Наявність хронічного осередку інфекції в ротовій порожнині, який може вплинути на загальне здоров’я (наприклад, при ослабленому імунітеті).
Протипоказання до лікування карієсу у дітей:
- Гострі інфекційні захворювання : Наприклад, грип, ГРВІ, ангіна чи висока температура
- Тяжкі системні захворювання в стадії декомпенсації
- Алергія на анестетики чи пломбувальні матеріали
- Запальні процеси в ротовій порожнині : Гінгівіт, стоматит або абсцес у гострій фазі – спочатку лікують запалення, потім карієс.
Як відбувається процедура?
-
1
Огляд і діагностика 5-10 хвилинСтоматолог оглядає ротову порожнину дитини, визначає наявність карієсу, його глибину та локалізацію. Іноді використовують дзеркальце, зонд або рентген для уточнення діагнозу. Лікар також пояснює дитині та батькам, що відбуватиметься, щоб зменшити страх.
-
2
Підготовка та знеболення 5-10 хвилинСпочатку застосовуємо місцеву аплікаційну анестезію для поверхневого знеболювання а потім лікар робить укол – ми використовуємо комп’ютерну анестезію. Дітям часто пояснюємо процес у ігровій формі, щоб заспокоїти. Чекаємо кілька хвилин, поки анестезія подіє.
-
3
Ізоляція зуба Виконуємо ізоляцію зуба від слини спеціальним резиновим платком ( коффердамом) при побаданні слюни на підготовлений зуб для сприяє неякісній герметизації пломби і в майбутньому прогресування карієсу під пломбою
-
4
Видалення ураженої тканини 10-20 хвилинстоматолог видаляє каріозні тканини зуба. з дітьми намагаємся працювати швидко, але обережно, щоб не травмувати здорові тканини. Час залежить від розміру порожнини.
-
5
Обробка порожнини 5-10 хвилинПісля видалення карієсу порожнину промиваємо антисептиком і висушуємоь. При глибоких ураженнях наносимо спеціальні захисні прокладки (наприклад, із кальцієм), якщо ураження близько до пульпи зуба, щоб запобігти подразненню.
-
6
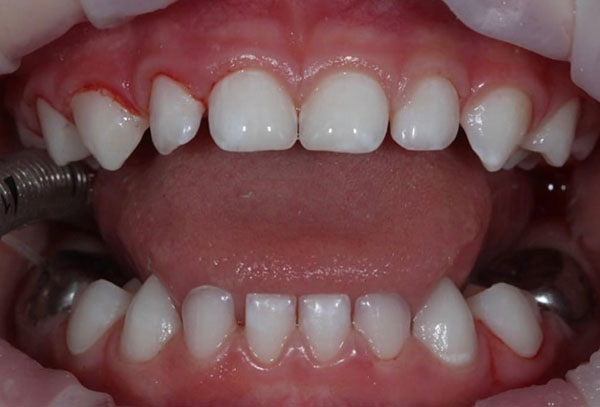
Пломбування 10-15 хвилинСтоматолог заповнює очищену порожнину пломбувальним матеріалом. У дітей часто використовують фотополімерні пломби, які тверднуть під світлом спеціальної лампи, або склоіономерний цемент.
-
7
Фінальна обробка та перевірка 5-10 хвилинЛікар шліфує та полірує пломбу, щоб вона не заважала прикусу та виглядала природно. Перевіряємо, чи комфортно дитині кусати, і даємо рекомендації щодо догляду.
